이맥스 인레이로 치료한 치아를 찾아보세요!(이멕스 인레이의 장점)
페이지 정보
작성자 김동목바른이치과 작성일24-10-21 16:29 조회1,892회 댓글0건관련링크
본문
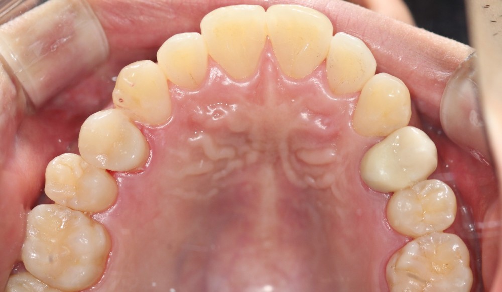
이맥스 인레이로 충치 치료하였습니다.
어느 치아가 치료한 치아일까요?
찾기 어려우시죠?
이처럼 이맥스 인레이는 아주 심미적이면서도 강도도 충분한 좋은 치료방법입니다.
다만 접착과 충치제거후 치아 처치 과정이 복잡합니다...
저희 치과에서는 번거롭고 노력이 필요하지만 인레이 케이스는 정성을 다해 모두 이맥스로 치료합니다.
댓글목록
등록된 댓글이 없습니다.

김동목 바른이 치과입니다.





